Fisiologi-Gambar sel-sel Darah

Sistem Haemopoeitik ; adalah system yang mencakup bahasan2 tentang darah
Darah ; cairan tubuh yang terdiri dari plasma darah dan benda-benda darah (eritrosit, leukosit, dan trombosit), serta bersirkulasi di dalam pembuluh darah

Komponen darah :
-         Plasma darah
-         Sel2 darah
a.       Eritrosit >> membawa oksigen melalui hemoglobin
b.       Leukosit >> sebagai komponen dalam system pertahanan tubuh
·        Granulosit
Neutrofil
Eosinofil
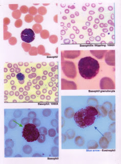
Basofil, sekresi alami heparin dalam alergi
·        Agranulosit
Monosit
Limfosit
c.       Trombosit >> sebagai komponen ddalam proses pembekuan darah

Polisitemia        ; yaitu peningkatan konsentrasi eritrosit di dalam darah
Anemia             ; yaitu penurunan konsentrasi  eritrosit di dalam darah
Leukositosis     ; yaitu peningkatan konsentrasi leukosit di dalam darah
Leucopenia       ; yaitu penurunan konsentrasi leukosit di dalam darah

  
FUNGSI DARAH PADA HEWAN/MANUSIA :
-         Sebagai media untuk mengangkut O2 dan CO2
-         Sebagai komponen dalam system pertahanan tubuh
-         Mengangkut sari-sari makanan hasil pencernaan
-         Mengangkut sekresi kelenjar endokrin
-         Mempertahankan suhu tubuh
-         Mempertahankan keseimbangan konsentrasi air dan elektrolit di dalam tubuh
-         Mengangkut senyawa2 kimia yang tidak diperlukan lagi oleh tubuh

Haematopoeisis ; proses pembentukan dan perkembangan sel2 darah
Sel2 darah ;
-         Di hasilkan di sum2 tulang belakang ( bone marrow)
-         Beredar dalam sirkulasi
-         Memiliki “Live span” yaitu batas umur tertentu (manusia; 120 hari, ayam: 25 hari)
-         Di degradasi

Eritropoesis : proses pembentukan eritrosit
Unsur-unsur yang diperlukan dalam eritropoeisis
Ø Eritroprotein, yaitu hormon/senyawa glikoprotein
Ø Ferrum (Fe), Cuprum (Cu), Cobalt (Co)
Ø Vitamin B12 (cobalamin), untuk pendewasaan eritrosit
Ø Asam folat ( asam Pteiroglutamat)

Kisaran normal RBC, Hb, PCV (pada beberapa spesies)
Spesies
RBC
106/Dl darah
WBC
g/Dl darah
PCV
%
Kucing
6-8
10-14
40-46
Anjing
6-8
12-15
40-48
Sapi
6-8
12-14
30-40
Kambing
13-14
13-15
20-30
Ayam
2,5-7,2
6-9
20-23
Kuda
9-12
11-16
32-48
Manusia
5-6/4-5





0 komentar:

Posting Komentar